Radios de mon artère coronaire droite, avant et après installation de deux stents sur 4cm (OSHKOSH, 29 JUILLET 2005)

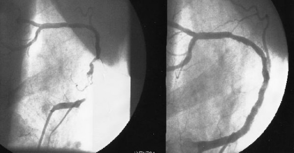
X-rays of my Right Coronary Artery, before and after placement of two stents on a 4cm length (OSHKOSH, 29th JULY 2005)

X-rays of my Right Coronary Artery, before and after placement of two stents on a 4cm length (OSHKOSH, 29th JULY 2005)