Après un vol à l’est de Londres, devant le Piper Cub PA19/150 de Maurice à l’aérodrome de Stapleford (27 OCTOBRE 2005)
Retour d’un vol d’essai de Bordeaux en Bretagne en Atlantc II le long de la côte atlantique (MERIGNAC, JUIN 1993)
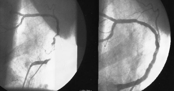
Radios de mon artère coronaire droite, avant et après installation de deux stents sur 4cm (OSHKOSH, 29 JUILLET 2005)
Avec le chirurgien, le Dr Volkert, avant l’opération cardiaque au Centre Médical d’Oshkosh (29 JUILLET 2005)